Uma pergunta que me fazem imenso é: "quando é que devo retirar a chupeta ao meu/minha filh@?"
Pois, então, a resposta é que a idade certa para o fazer... depende. Cada criança é uma criança. Regra geral, criança nenhuma deve chegar aos 2 anos ainda a usar chupeta, mas há crianças que usam até mais tempo do que isso e não tem problema nenhum, assim como há crianças a quem tem de se retirar a chupeta muito mais cedo. Tudo depende da morfologia e do tipo de crescimento faciais da criança.
O uso da chupeta pode ser benéfico nos primeiros meses de vida, há até estudos que mostram que o uso de chupeta em recém-nascidos está associado a uma taxa mais baixa do síndrome da morte súbita, mas é preciso reavaliar a continuação do seu uso quando começam a aparecer os dentinhos.
Engraçado que a maior parte dos pais pergunta quando é que deve retirar a chupeta, apenas para depois ignorar todos os nossos conselhos. Devem achar que depois tudo se resolve com um "aparelhito", mas nem sempre é assim tão fácil. A chupeta vai provocar alterações a nível do desenvolvimento dentário, mas também vai alterar o crescimento dos maxilares, ou seja, vai provocar deformações ósseas que, no futuro, podem ser mais ou menos simples de resolver, sendo que alguns casos só se resolvem mesmo com intervenção cirúrgica. Deixem-me acrescentar que o pós-operatório duma cirurgia aos maxilares não é nada simpático.
Por isso, o melhor é mesmo pedirem conselhos ao pediatra ou, idealmente, ao dentista (não querendo tirar o mérito aos pediatras, mas acho que os médicos têm muito pouca formação sobre tudo o que envolva cavidade oral) e efectivamente seguirem os conselhos que vos forem dados.
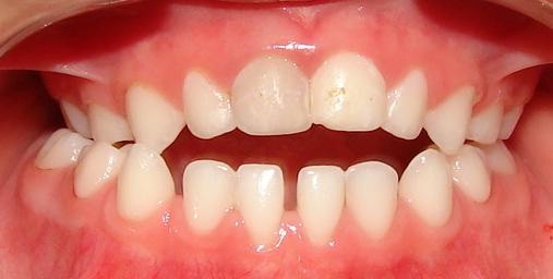
Apenas como ponto de referência, vou deixar-vos aqui uma imagem daquilo que é uma oclusão normal:
Há imensas alterações que podem ser provocadas pelo uso da chupeta (e quem diz chupeta diz biberão ou chupar no dedo), mas as mais comuns são as mordidas cruzadas e as mordidas abertas. A mordida cruzada acontece quando, ao "cerrar os dentes", os dentes inferiores ficam numa posição exteriorizada em relação aos superiores (se repararem na imagem de cima, são os superiores que estão "por fora"). A mordida aberta (que, se não for corrigida cedo, pode evoluir para caso cirúrgico) tem uma aparência muito característica e que todos vocês já devem ter visto em alguém, que é quando fica um espaço, que pode ser mais ou menos pronunciado, entre os dentes anteriores, mesmo em posição de boca fechada.
![]() |
| mordida aberta |
![]() |
| mordida aberta e mordida cruzada |
Se, por acaso, os vossos filhotes apresentarem algo que se assemelhe a uma destas imagens (ou qualquer outro aspecto que não vos pareça "normal"), então está na altura de irem consultar o dentista para ver qual é o caminho a seguir. Uma coisa é certa, a chupeta vai ser para largar. E não é por mal, todos sabemos que querem que os vossos bebés sejam bebés para sempre, mas é pelo bem deles que o devem fazer.
Espero que tenham achado isto útil e, como sempre, podem estar à vontade para fazerem as perguntas que quiserem!



A mim sei que tiraram a chupeta cedo, porque comecei a chupar o dedo e claro, mais tarde tive que usar aparelho.., e mesmo assim, acho que os dentes não ficaram totalmente direitos..
ResponderEliminarPor isso mais vale prevenir e retirar de imediato a chupeta, ou o dedo..
Por acaso, usei chupeta até tarde :O
ResponderEliminarPedir conselhos e depois não usufruir deste tipo de ajuda é estúpido. Ainda para mais quando este assunto é tão importante
Super útil! A minha sobrinha nunca quis chucha mas teve sempre lá o dedo na boca, tentassem o que fosse para lhe tirar esse vicio. Mas já desde novinha que está a ser acompanhada pela dentista da família porque viu-se logo que aquilo não ia dar bom resultado tanto dedo na boca. Um beijinho *
ResponderEliminarPois o problema da chupeta é esse não há Mãe nem Avó que quando bebés ou não dormem ou birras não recorram à bela chuchinha....
ResponderEliminarDos três o do meio foi o pior por isso já usa aparelho.
Mas começaram a ir ao dentista muito mas mesmo muito cedo.
Beijinhos e obrigada pela partilha
Na verdade, já tinha ouvido falar que era por volta dessa idade que se devia deixar de usar, mas tudo pela boca do povo, nunca dum profissional de saúde! É mais uma coisa que aprendi (com certeza de que está certo) aqui contigo, quer pelo blogue, quer pelo Insta que sigo mais assiduamente, pela falta de tempo que tenho para vir à blogosfera nos últimos tempos :)
ResponderEliminarO meu filho deixou aos 3 anos e tinha assim essa abertura. Fechou, mas aquilo ainda fez estragos, porque ele tem essa mordida cruzada, disse-nos a dentista.
ResponderEliminar